
Razones por las que puede ser necesaria una prótesis de cadera
Los motivos más frecuentes de consulta en una clínica de Traumatología y Cirugía Ortopédica suelen ser dolores de espalda, esguinces, lesiones depotivas, artrosis... Y es precisamente esta última una de las razones más comunes por las que se suele recomendar una invertención de colocacaión de prótesis de cadera.
La colocación de un prótesis de cadera está indicada cuando existe un deterioror articular importante asociado a dolor progresivo que, además, limita el desarrollo normal del día a día del paciente alterando su calidad de vida.
Si bien, la cuasa más freuccente de indicación de reemplazo de cadera es al artrosis, ya sea primaria o secundaria o cuadros como la displasia de cadera, la osteonecrosis, enferemdades articulares inflamatorias... también peude ser necesario la colocación de una prótesis de cadera en pacientes con algunos tipos de fractura de cadera.
Existe una amplia gama de implantes de prótesis de cadera; la elección de cuál es el más indicado depende de diferentes factores y, por tanto, la decisión de toma de forma particular para cada caso.
En conclusión, podemos decir que las prótesis de cadera tienen el objetivo fundamental de aliviar el dolor y devolver la movilidad al paciente, siempre que éste no responda a tratamientos más conservadores como el reposo, la rehabilitación, la toma de ainti-inflamatorios... Se recomienda el reemplazo de cadera en los siguientes casos:
- Artrosis de cadera: por el desgaste del cartílago que recubre la superficie de la cabeza femoral y o de la cetábulo, lo cual puede deberse al sobreuso debdo a causas desconocidas o patologías previas que aceleren su desgaste.
- Fracteura de cadera: se trata de una rotura de la parte superior del fémur, que seuele producirse en pacientes con osteoporosis previa.
¿Qué esperar tras la colocación de una prótesis de cadera?
La artroplastia de cadera es una cirugía con un elevadísimo porcentaje de exito.
- Cada paciente es completamente diferente pero, de forma general, podemos afirmar que uno de los principales beneficios que nota el paciente tras una cirugía de reemplazo de cadera es la disminución o desaparición del dolor inguinal que suele presentar previamente. Y suele ir acompañada de una importante mejora en la movilidad de la articulación.
- Además, hay pacientes que constatan una mejora de dolores lumbares, ya que al recuperar la movilidad de la cadera, así como mejorar la fuerza y la seguridad de la pierna intervenida, se sobrecarga menos la columna lumbar.
- Otro de los beneficios asociados, suele ser la corrección de la dismetría que presentan algunos pacientes con artrosis de cadera.
Actualmente un paciente con una prótesis de cadera puede realizar la misma actividad que realizaba antes, de hecho podrá realizar más actividad dado que no tendrá el dolor de cadera como principal limitante.
Trauma Sport: más de 1000 intervenciones de prótesis de cadera
En Trauma Sport, clínica de Traumatología, Cirugía Ortopédica y Fisioterapia, llevamos más de 25 años realizando este tipo de intervenciones. Podemos decir que hemos realizado más de 1000 intervenciones de colocación de prótesis de cadera, y en este tipo de operaciones la experiencia es un factor que puede determinar el éxito de la cirugía.
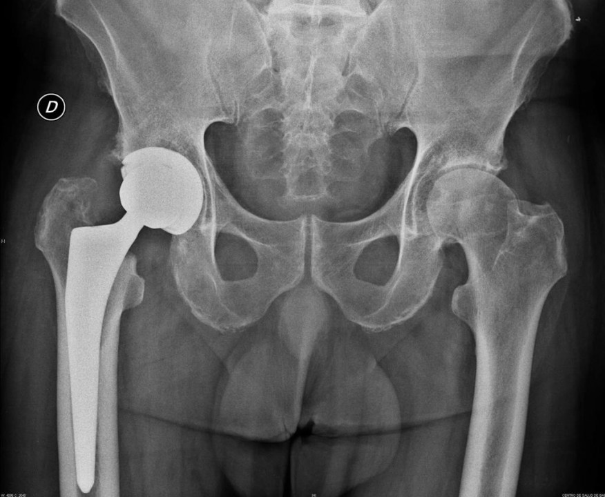
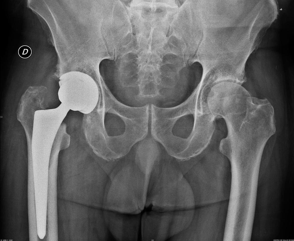
A continuación os mostramos el antes y el después de un caso clínico tratado por nuestro equipo de traumátologos.







